Home / What is an All-On-4 Dental Implant?

What is an All-On-4 Dental Implant?

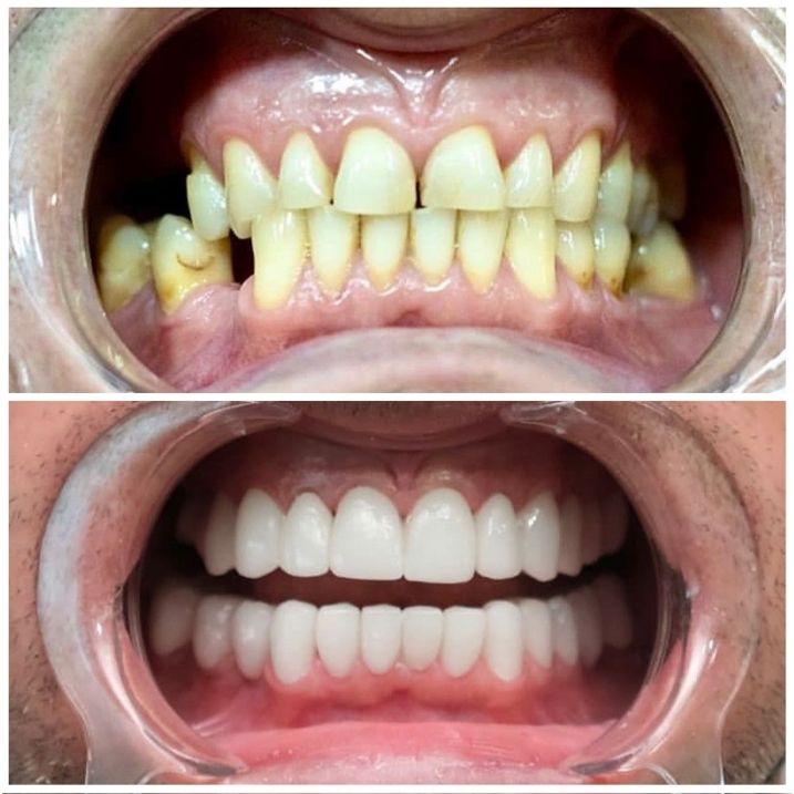
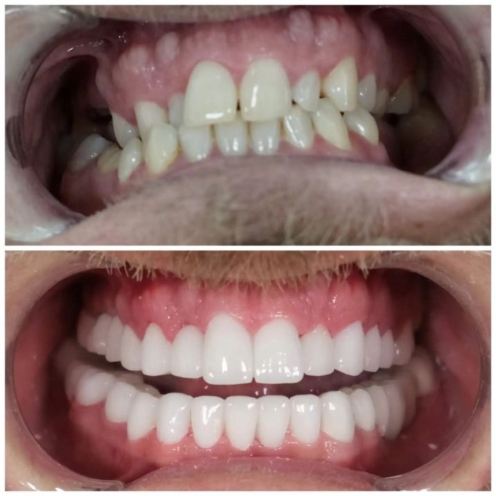
All-On-4 is a modern treatment method designed for a completely edentulous jaw, using only four dental implants to replace a set of fixed teeth. Unlike traditional dental implants, All-On-4 restores all the jaw's teeth in a single procedure and can usually be done in a single day. This allows patients to quickly and effectively meet their aesthetic and functional needs.

 

All-On-4 Treatment Process

 

Initial Consultation: The first step of All-On-4 treatment is a consultation meeting with a specialist dentist. During this meeting, your jaw structure, dental health and suitability for treatment are evaluated.

 

Implant Placement: Treatment begins with the placement of four dental implants into the jawbone. Implants provide a solid foundation for fixing your teeth.

 

Temporary Teeth Fitting: After the implants are placed, temporary teeth are attached. These teeth are used functionally until the jawbone heals.

 

Healing Process: Implants undergo a healing process for approximately 3-6 months until they fuse with the jawbone. During this period, the integration of the implants with the jawbone is achieved.

 

Permanent Teeth Placement: Once healing is complete, permanent teeth are placed and the treatment is completed.

 

Who is Suitable for All-On-4 Dental Implants?

 

All-On-4 dental implants are a suitable option for many people who have lost their teeth and have sufficient jawbone. However, suitability for treatment may vary for each patient. Ideal candidates are individuals who are careful about their oral hygiene, have good general health, and whose jawbone structure is suitable for All-On-4 treatment. It is recommended that you consult a dentist to find out if you are suitable for the treatment.

 

How Long Does Pain Last After All-On-4 Dental Implants?

 

The pain experienced after All-On-4 dental implants are placed is usually minimal and subsides within a few days. After the implants are placed in the jawbone, you may experience some mild pain, swelling, and discomfort during the first few days of healing. However, most patients have no trouble managing this pain.

 

Since local anaesthesia is used during the placement of the implants, there is no pain during the procedure. Once the anaesthesia wears off, pain levels can vary from person to person. Some patients describe the pain as only mild discomfort, while others may experience more pain. In general, the pain begins to subside within 3 to 5 days.

 

Managing Pain After All-On-4 Dental Implants

 

While it is natural to experience pain and discomfort after All-On-4 treatment, there are some methods and tips to manage it:

 

Painkillers: Your dentist will usually recommend prescription painkillers or over-the-counter medications (such as ibuprofen or acetaminophen) for post-procedure pain. These medications can be an effective solution to control pain. However, you should only use prescription medications as prescribed by your doctor.

 

Applying Cold Compress: Applying cold compresses to the implant area at 15–20-minute intervals can help reduce swelling. Cold will relieve pain and reduce blood flow, speeding up healing.

 

Consuming Soft Foods: Soft foods should be preferred for the first few days. Avoiding hard foods will help not to put additional pressure on the tissues around the implant and speed up the healing process.

 

Keeping Your Head Elevated: Keeping your head elevated while sleeping can reduce swelling and relieve pain. You can support your head using pillows.

 

Good Oral Hygiene: It is very important to keep the treated area clean after implant treatment. Your dentist can give you specific instructions on how to brush properly to support the healing process. You should keep the area clean to reduce the risk of infection.

 

Contacting Your Dentist: If the pain becomes severe or lasts longer than expected, be sure to contact your dentist. Severe pain can be a sign of infection or other complications.

 

Advantages of All-On-4 Dental Implants

 

Fast and Effective Solution: All-On-4 provides treatment with temporary teeth on the same day. Results are achieved in a shorter time compared to traditional implant treatments.

 

Minimally Invasive Procedure: Since only four implants are placed in the jawbone, surgical intervention is minimal and the healing process is accelerated.

 

Aesthetic and Natural Appearance: All-On-4 implants provide fixed teeth that resemble your natural teeth. Thus, they offer both an aesthetic and functional solution.

 

Prevents Bone Loss: After tooth loss, the jawbone begins to melt. All-On-4 treatment prevents bone loss thanks to the integration of implants with the jawbone.

 

Comfortable Use: Thanks to fixed teeth, there is no discomfort in eating, speaking and daily activities.

 

All Jaw Implants in One Go: By placing only four implants in different parts of the jawbone, multiple teeth are fixed. This greatly speeds up the treatment process.

 

Long-Term Solution: All-On-4 implants last for many years with proper care and hygiene. Fixed teeth are long-lasting.

 

Requires Fewer Implants: Compared to traditional implant methods, All-On-4 supports all jaw teeth using only four implants, making the treatment more economical.

 

Disadvantages of All-On-4 Dental Implants

 

High Initial Cost: All-On-4 treatment usually comes with a high cost. This can be a budget-friendly option for some patients at the beginning.

 

Healing Process: Although the healing period after treatment is short, it can take several months for the implants to fuse with the jawbone. Temporary teeth are used during this process.

 

Jawbone Condition: Not every patient has enough jawbone. Some patients may not be suitable for All-On-4 or may require additional bone grafts.

 

Need for Ongoing Dental Care: As with all dental treatments, regular dental care and hygiene are required to extend the life of All-On-4 dental implants.

 

Difficulty with Jawbone Integration: For some patients, the jawbone may not be strong enough and the healing process may be more complicated after implants are placed.

 

Pain and Discomfort: Pain and discomfort may be experienced after implant placement, especially in the first few days. However, this is usually short-term.

 

SSS 1

SSS 1

 

Get a Free Quote Now!
Get Price

Before After

Lorem Ipsum is simply dummy text of the printing and typesetting industry. Lorem Ipsum has been the industry's standard dummy text ever since the 1500s, when an unknown printer took a galley of type and scrambled it to make a type specimen book.
We Call You
WHATSAPP
FOR YOUR SMILE
Online
FOR YOUR SMILE

Hello, how can we help you?

14:57
WhatsApp Chat